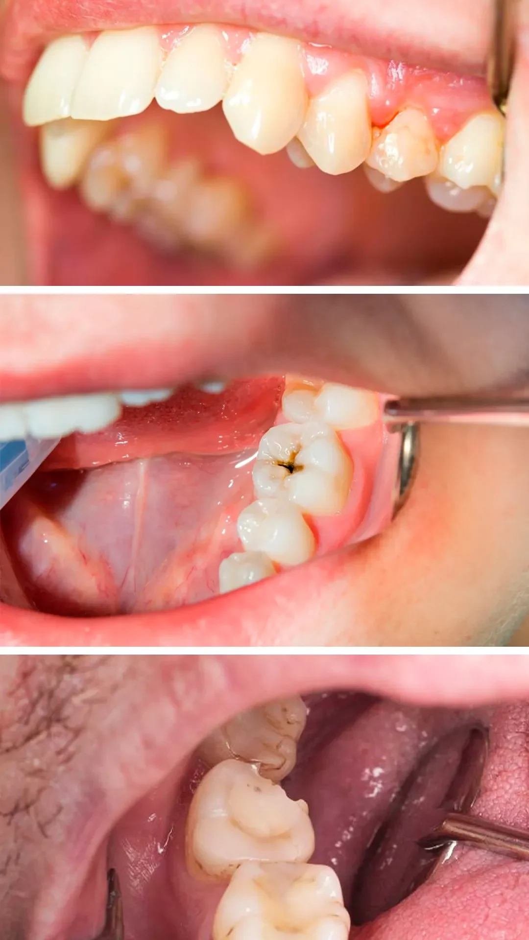
Desconforto ao mastigar, sensibilidade ao frio ou doces, escurecimento dental e gengivas inchadas são sinais de que seus dentes precisam de cuidado imediato.
Essas dores costumam ser sintomas de quem precisa passar por um tratamento de canal.
Desconforto contínuo que impede a realização de atividades diárias e afeta sua qualidade de vida.
Dentes extremamente sensíveis ao calor e ao frio, dificultando a alimentação e causando dor constante.
Gengivas inflamadas e inchaço na área afetada, indicando uma possível infecção que precisa de atenção imediata.
Mudança na coloração do dente, sinal de que a polpa dentária pode estar danificada ou morta.
Problemas recorrentes com infecções dentárias, causando dor e necessitando de tratamento adequado.
Situações como a remoção de limas fraturadas, pinos, tratamento de canais calcificados e dentes com anatomias difíceis requerem habilidades avançadas e equipamentos especializados, garantindo a eficácia e a preservação do dente afetado.
Análise detalhada das suas condições dentárias, entender a sua dor e sensibilidade. É realizada uma radiografia em minutos para definir o início do tratamento, visando eliminar a dor e preservar seus dentes.
O tratamento de canal em uma única sessão é uma técnica moderna e eficiente que permite a conclusão do procedimento em apenas uma visita ao dentista. Durante a sessão, o dentista remove a polpa infectada, limpa e desinfeta o canal, e o preenche com um material específico para selá-lo, tudo em uma única consulta.
Após o procedimento o alívio é imediato, você receberá instruções de como manter a preservação dos seus dentes e orientações específicas para o seu caso.
O tratamento de canal elimina a dor por completo, proporcionando alívio imediato e permitindo que o paciente retorne às suas atividades diárias sem desconforto.
O principal benefício do tratamento de canal é a preservação do dente natural. Este procedimento elimina a infecção e prepara o dente para ser restaurado, garantindo que ele continue a exercer suas funções normalmente.
Substituir o tratamento de canal pela extração dentária não é mais a melhor opção para tratar dor de dente ou infecções. O tratamento de canal permite salvar o dente afetado, evitando a perda precoce e mantendo a integridade da arcada dentária, além de reduzir custos futuros com próteses dentárias.

Sorriso brilhante, saúde garantida! Nossa limpeza dental remove placas e tártaros, deixando seus dentes limpos e frescos. Mantenha sua boca saudável e seu sorriso radiante.

Cuidamos da sua saúde bucal com carinho e atenção. Na nossa clínica geral, oferecemos consultas, diagnósticos e tratamentos personalizados para manter seu sorriso sempre saudável.

Recupere a beleza e a função dos seus dentes! Nossas restaurações dentárias são feitas com materiais de alta qualidade, garantindo um sorriso natural e duradouro.

Alinhe seu sorriso com conforto e estilo. Oferecemos aparelhos ortodônticos modernos e discretos, proporcionando a você a confiança de um sorriso perfeitamente alinhado.

Desfrute de um sorriso mais branco e brilhante! Nosso tratamento de clareamento dental remove manchas e descolorações, revelando dentes mais claros e radiantes.
![]()
Daniela Nascimento2024-05-02
Fácil localização, a Dra atendeu super bem e realizou um excelente trabalho. Recomendo!![]()
Manuela Passos2024-03-27
Fui atendida por Dra. Carol excelente profissional, tranquila, mão leve, explica tudo wuetesta fazendo. Adorei. Atendente tranquila, educada. Ah não esquecendo de elogiar a Playlist maravilhosa deixa a gente tranquilo![]()
Neemias Braz2024-03-14
Atendimento de qualidade e playlist top hehe
O tratamento de canal, ou terapia endodôntica, é um procedimento odontológico que remove a polpa inflamada ou infectada de dentro do dente, limpa e desinfeta a cavidade, e a preenche com material específico para evitar novas infecções, preservando assim o dente.
Sinais como dor intensa, sensibilidade ao calor e frio, inchaço, gengivas inflamadas, e descoloração do dente podem indicar a necessidade de um tratamento de canal. Uma avaliação com a nossa equipe é essencial para determinar o melhor tratamento.
O tratamento de canal é realizado sob anestesia local, garantindo que o procedimento seja indolor. Após o tratamento, pode haver algum desconforto que é facilmente controlado com medicação prescrita pelo dentista.
A duração do tratamento de canal varia conforme a complexidade do caso, mas geralmente é concluído com uma única sessão. O acompanhamento posterior garante a eficácia e longevidade do tratamento.
Sim, o tratamento de canal é um procedimento seguro quando realizado por profissionais qualificados. Ele é projetado para eliminar a infecção e preservar o dente, evitando complicações mais graves no futuro.
A extração deve ser considerada apenas como último recurso. Consultar um endodontista pode salvar seu dente natural, evitando a necessidade de próteses ou implantes, que são opções mais invasivas e caras. Manter seu dente natural preserva a integridade da sua arcada dentária e contribui para a saúde bucal geral.
Não, o tratamento de canal não quebra o dente. No entanto, o dente tratado pode se tornar mais frágil e suscetível a fraturas. Por isso, é comum a recomendação de colocar uma coroa ou restauração para proteger e fortalecer o dente após o tratamento.